泌尿器
「おしっこに血が混じってる?」
その違和感、見逃さないで。
こんな症状はありませんか?
- 🚽 トイレに何度も行く
- 💧 おしっこの量が少ない・出にくい
- 🩸 血尿が出た
- 🐾 トイレ以外で粗相する
- 😿 おしっこする時に鳴く・力む
- 🥤 水をたくさん飲む、尿の色が薄い
- 👅 陰部をしきりに舐める

当院で行っている検査・治療
尿検査
ご自宅での尿の採取が難しい場合は、来院時に院内で採尿が可能です。以下の項目を中心に検査を行います:
- 試験紙によるpH・蛋白・潜血などの評価
- 尿比重測定による腎機能の簡易チェック
- 顕微鏡検査による結晶・細菌・細胞の観察
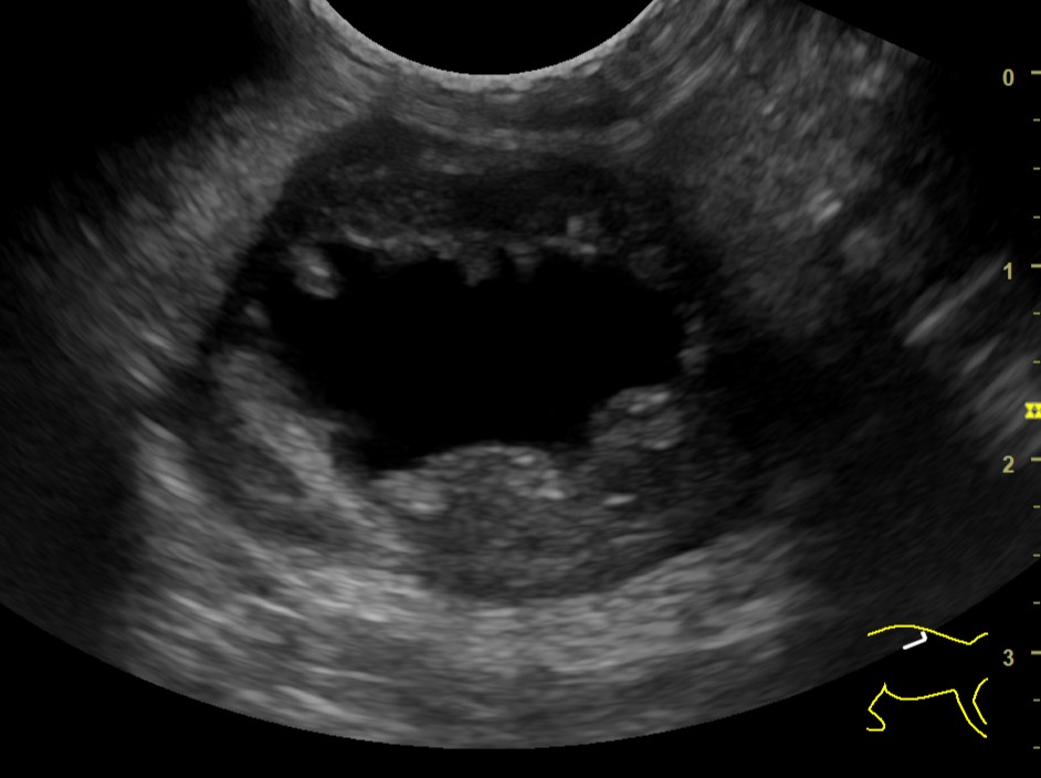
腹部超音波検査
膀胱や腎臓の内部構造をリアルタイムで観察できます。腫瘍や結石、腎臓の構造異常の早期発見に役立ちます。
その他の検査・治療
- レントゲン検査(結石の位置・大きさの把握)
- 血圧測定
- 血液検査(腎機能・電解質バランスの評価)
- カテーテル処置(排尿困難時の尿道確保)
- 食事療法や内服薬による内科的アプローチ
よくあるご質問
Q. おしっこが出にくそうなのですが、すぐに受診すべき?
はい。おしっこのトラブルは命に関わることもあるため、早めの受診をおすすめします。特にオス猫さんは尿道閉塞を起こしやすく、緊急処置が必要になることがあります。
Q. 血尿が出たのですが、様子を見ても大丈夫?
血尿は膀胱炎や結石、腫瘍などのサインである可能性があります。痛みがない場合でも、一度検査を受けることをおすすめします。
Q. 尿検査ってどうやって行うの?家で尿を取る必要がありますか?
尿をご持参いただけるとスムーズに検査が可能です。ご自宅での採尿が難しい場合は、来院時に院内で採尿することも可能です。
Q. 尿がうまく取れません・・・
いつも使っているペットシーツを裏返してみてください。吸収されずに残ったおしっこを清潔な容器に入れてお持ちください。注射器のご用意も可能です。
Q. お薬や食事だけで治せますか?
結石や慢性膀胱炎などの場合、食事療法や内服薬での管理が可能なこともあります。ただし、症状や原因に応じて治療法は異なるため、診断が重要です。
🐾 気になる泌尿器の症状、まずはご相談ください
当院では、丁寧な診察と検査を行っております。
「これって病院に行くべき?」と思ったときが、受診のタイミングです。
